
« UN ESPOIR IMMENSE »
3 avril 2024
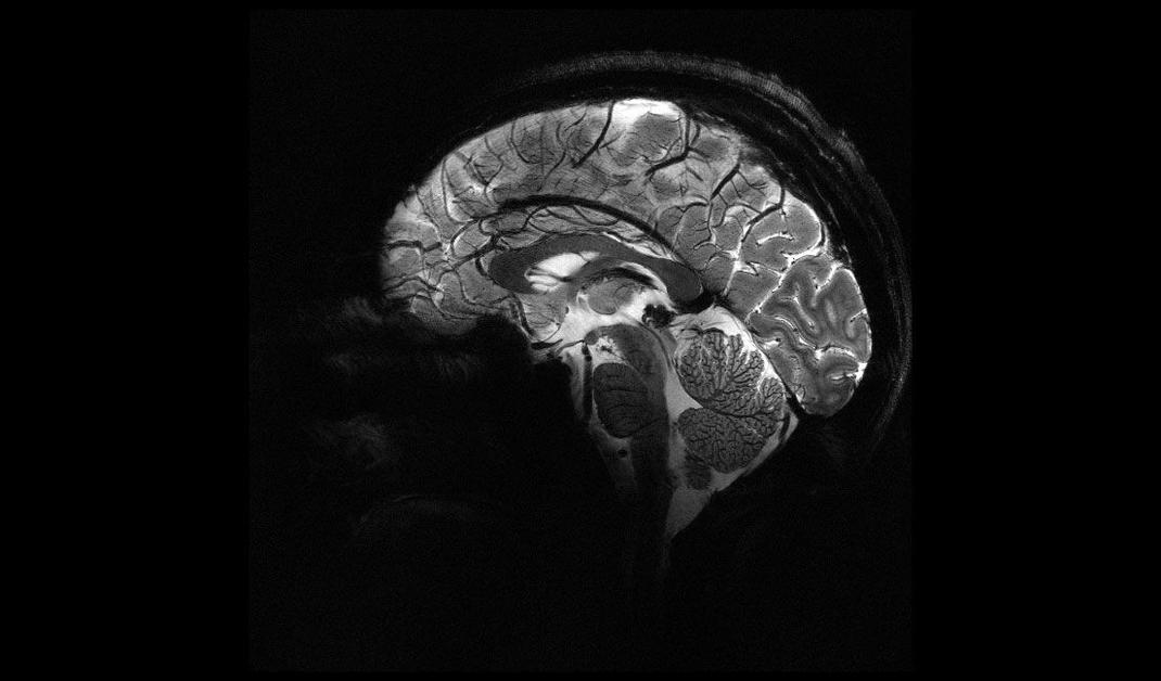
L'IRM « le plus puissant du monde » dévoile ses premières images de notre cerveau
Le Commissariat à l'énergie atomique et aux énergies alternatives a dévoilé ce mardi 2 avril les premières images de l'IRM Iseult, le plus puissant du monde. Il doit aider à mieux comprendre le fonctionnement du cerveau.
A PROPOS DES AUTEURS
Populaires
A PROPOS DES AUTEURS
