
TRIBUNE
30 janvier 2018
Journée mondiale des lépreux : la maladie des extrêmes guérissable et évitable résiste encore et toujours
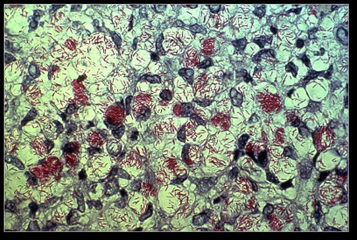
La lèpre est une maladie infectieuse chronique, l’une des plus mal perçues par la population.
A PROPOS DES AUTEURS
Stéphane Gayet est médecin des hôpitaux au CHU (Hôpitaux universitaires) de Strasbourg, chargé d'enseignement à l'Université de Strasbourg et conférencier.
Populaires
A PROPOS DES AUTEURS
Stéphane Gayet est médecin des hôpitaux au CHU (Hôpitaux universitaires) de Strasbourg, chargé d'enseignement à l'Université de Strasbourg et conférencier.

